Cosmetic Dentistry
Though maintaining the health of your teeth and gums is integral to a beautiful smile, Dr. Rafael Yanez is equally passionate about taking the appearance of your smile to the next level with the latest cosmetic dentistry techniques. Small imperfections like stains, cracks, and chips can prematurely age the look of your teeth. Crooked, worn, or misaligned teeth can also negatively impact the confidence you have in your smile with regard to your personal and professional life. With these effective cosmetic dentistry treatments, our cosmetic dentist can address a number of aesthetic concerns and you can feel great about showing off your new smile.
Below, you will find some brief descriptions of cosmetic dentistry procedures we offer and links to more detailed pages on these treatments. If you would like more information, or if you would like to schedule a complimentary consultation here at I.Dentical – All About Your Smile, please contact our office at (215) 923-2233.

Porcelain Veneers
Porcelain veneers can be used to correct a wide range of cosmetic imperfections. By applying a thin, custom-designed shell composed of a strong ceramic material to the affected tooth, Dr. Yanez can improve the appearance of cracks, chips, gaps, misalignment, and worn or uneven teeth for a healthier, more beautiful smile.
Invisalign®
With Invisalign®, the cumbersome and unsightly wires of traditional braces can become a thing of the past. This innovative orthodontic treatment uses a system of removable clear plastic aligners that allow you to gently straighten your teeth without drawing unwanted attention. Invisalign® can help both teenagers and adults improve the look of their smiles in a more comfortable and discreet way.
Zoom!® Teeth Whitening
Revitalizing your smile by lightening the shade of your teeth is one of the fastest ways to enhance your appearance. Though there are many over-the-counter options for teeth whitening, Zoom!® treatments offer professional-grade bleaching that can brighten your teeth by several shades in one short office visit. Combat stains and take years off the look of your smile with Zoom!® teeth whitening.
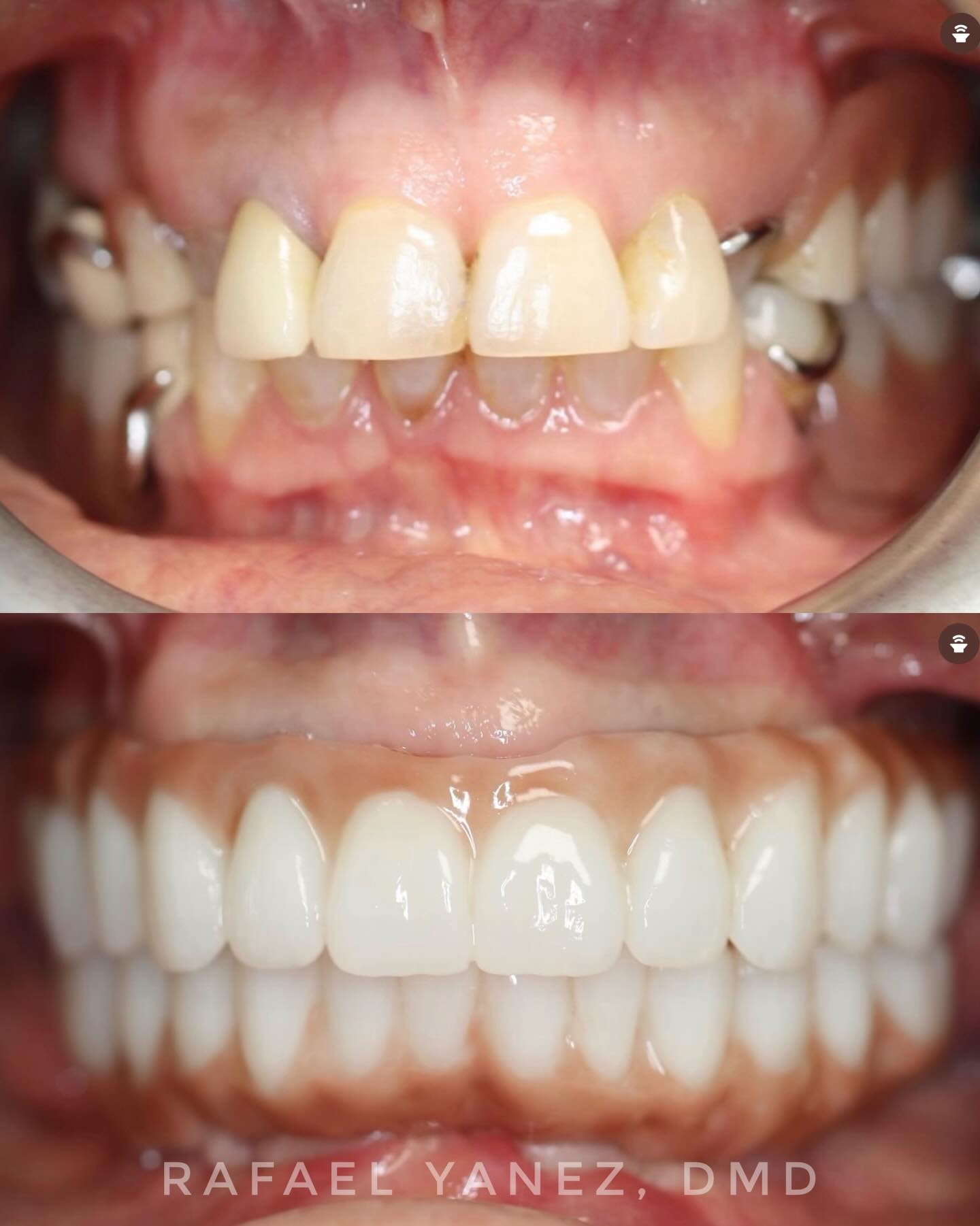
Smile Makeover
Aesthetic dental concerns often affect more than a single tooth—and sometimes the entire mouth. A smile makeover is a customized treatment plan that involves a combination of two or more cosmetic dentistry procedures designed to comprehensively address chips, gaps, stains, missing teeth, and/or various other tooth-related cosmetic issues. Dr. Yanez tailors all smile makeovers to meet the unique needs and goals of the individual, enabling you to achieve a complete smile transformation you are truly proud to put on display.
If you have any questions about our cosmetic dentistry options, or if you are interested in enhancing the appearance of your smile and wish to book a complimentary consultation with Dr. Yanez, please contact us online or by telephone at (215) 923-2233 today.


