Cosmetic Dentist vs. General Dentist: What’s the Difference?

When you are looking for a dentist, you may notice that some practices describe themselves as general dentistry offices while others highlight cosmetic dentistry services. Although both types of dentists play essential roles in maintaining your oral health, their training, focus, and treatment goals can be quite different. Understanding these differences can help you make informed decisions about your dental care, especially if you are considering treatments to improve the appearance of your smile.

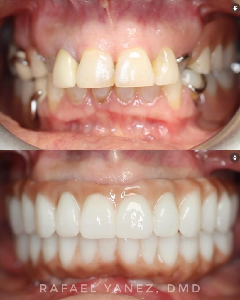
At our Philadelphia practice, Dr. Rafael Yanez provides both comprehensive general dentistry and advanced cosmetic dental services to help patients enjoy stronger, healthier teeth, as well as more radiant and confident smiles.

What Does a General Dentist Do?

A general dentist is often considered your primary oral healthcare provider. Their main focus is to preserve and protect your dental health through prevention, diagnosis, and treatment of common oral concerns. Most patients visit their general dentist every six months for routine checkups and cleanings—appointments that are crucial for maintaining gum health, preventing decay, and identifying potential issues early.

General dentists offer services such as:

Since these treatments are essential for long-term dental wellness, a general dentist typically provides ongoing care throughout your life. Dr. Yanez strongly believes in a proactive approach to oral health and takes time to educate patients on maintaining healthy habits. His preventive practices are designed not only to treat existing concerns but also to reduce your risk of future dental problems.

What Is Cosmetic Dentistry?

Cosmetic dentistry goes a step beyond general dental care. Instead of focusing primarily on the health of the teeth, cosmetic dentistry aims to enhance the appearance of your smile. Cosmetic dentists specialize in improving dental aesthetics such as symmetry, color, shape, and alignment. While cosmetic treatments often provide functional benefits, their primary purpose is to help patients achieve smiles that make them feel confident.

Common cosmetic dental procedures include:

Cosmetic dentistry requires a keen eye for detail, artistic skill, and an advanced understanding of dental materials and aesthetics. As a cosmetic dentist, Dr. Yanez has completed extensive additional training in these techniques and has a reputation for blending technical precision with artistry. His goal is to produce natural-looking, harmonious results that complement each patient’s facial features.

How Training Differs Between General and Cosmetic Dentists

Cosmetic dentists generally begin their careers as general dentists. They earn a Doctor of Dental Surgery (DDS) or Doctor of Dental Medicine (DMD) degree and complete the same foundational training in anatomy, oral health, and restorative care. The difference lies in the additional education pursued afterward.

Cosmetic dentists often participate in:

  • Specialized hands-on workshops
  • Continuing education courses in advanced aesthetics
  • Training in digital smile design and modern cosmetic materials
  • Courses in facial proportions, symmetry, and advanced bonding techniques

As cosmetic dentistry is not recognized as an official ADA specialty, the level of skill and experience can vary widely among practitioners. Patients seeking aesthetic enhancements should choose a dentist with proven expertise, photographs of past work, and a strong background in cosmetic techniques. Dr. Yanez’s years of training and experience in cosmetic dentistry allow him to provide refined, custom smile enhancements with exceptional attention to detail.

When Should You See a Cosmetic Dentist?

If you want to ensure your teeth and gums are healthy, a general dentist is often your first point of contact. However, if your concerns are related to the appearance of your smile, a cosmetic dentist can help create the improvements you envision.
You may benefit from a visit with a cosmetic dentist if you want to:

  • Brighten stained or discolored teeth
  • Fix gaps or uneven spacing
  • Reshape teeth that look worn or chipped
  • Correct minor alignment issues without braces
  • Replace old, unattractive dental work
  • Achieve a complete smile makeover

While some general dentists offer basic cosmetic procedures, a dedicated cosmetic dentist like Dr. Yanez has the artistic skill, advanced tools, and aesthetic training necessary to deliver high-quality, natural-looking results.

Is a Cosmetic Dentist Also a General Dentist?

Yes—most cosmetic dentists, including Dr. Yanez, also provide general dentistry. This combination allows patients to receive all levels of dental care in one practice. Dr. Yanez’s dual expertise means he evaluates the health and appearance of your smile together. If restorative or preventive treatment is needed before cosmetic work, he ensures the foundation of your smile is healthy and strong before moving forward with any aesthetic improvements.

This approach generally leads to more predictable, longer-lasting results and reduces the risk of complications. Patients appreciate that they can maintain their routine oral care while also having access to state-of-the-art cosmetic solutions when they are ready to enhance their smile.

Which Type of Dentist Is Right for Me?

The answer depends on your goals. If you are due for a checkup, need a filling, or suspect a dental problem, a general dentist is essential. If you want to improve how your smile looks, a cosmetic dentist is typically the ideal choice.

For many patients, working with a dentist like Dr. Yanez, who provides both general and cosmetic services, offers the best of both worlds. You can receive comprehensive oral healthcare while having the option to pursue advanced aesthetic treatments whenever you choose.

Schedule a Consultation With Dr. Yanez

Whether you are interested in routine preventive care or you are ready to explore transformative cosmetic dentistry options, Dr. Yanez and our Philadelphia dental team are here to help. We take pride in offering personalized, high-quality care that supports your oral health and helps you achieve a smile you love.

To learn more or to schedule an appointment, please contact our office today.